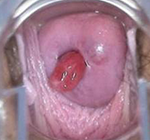
宫颈腺体囊肿(Nabothcyst)又叫宫颈纳氏囊肿,妇科、宫颈纳囊(可称“纳囊”),宫颈糜烂、息肉一样,是慢性宫颈炎的一种。其包含的粘液常清澈透明,但可能由于合并感染而呈混浊脓性。囊肿一般小而分散,突出于子宫颈表面。小的仅有小米粒大,大的可达玉米粒大,呈青白色,可能伴有糜烂,但亦常见于表面光滑的子宫颈。
白带多异味出血
腰骶部疼痛
痛经
尿急尿频尿痛
该疗法在B超的连续动态观察和引导下,准确定位病变部位,以射频为治疗源,运用电磁波的热效应,通过病灶中的分子、离子高速运动,产生生物高热效应,使病变组织发生凝固、变性和坏死,得以消融,后被正常组织吸收或自动排出。
无损伤、苦、不出血、无须住院,术后恢复快。
治疗时间短,效果直观。
副作用少,可以通过彩超直接观察治疗效果。
治疗费用低,与手术相比为患者节约一半以上的费用。
无心理负担,避免了长期的心理痛苦及家庭问题。

治疗前

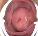
治疗后