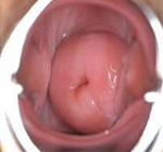
宫颈息肉是慢性宫颈炎表现的一种,在已婚妇女中比较多见。一种是宫颈粘膜的息肉,表面由柱状上皮覆盖有丰富微血管。轻触就会出血,以至常发生感染形成溃疡;另一种宫颈阴道部分的息肉,表面由复层鳞形上皮覆盖,主要为纤维结缔组织所以颜色浅红,基底较宽病位表浅。
该疗法在B超的连续动态观察和引导下,准确定位病变部位,以射频为治疗源,运用电磁波的热效应,通过病灶中的分子、离子高速运动,产生生物高热效应,使病变组织发生凝固、变性和坏死,得以消融,后被正常组织吸收或自动排出。
无损伤、苦、不出血、无须住院,术后恢复快。
治疗时间短,效果直观。
副作用少,可以通过彩超直接观察治疗效果。
治疗费用低,与手术相比为患者节约一半以上的费用。
无心理负担,避免了长期的心理痛苦及家庭问题。

治疗前

治疗后